Chủ Nhật, ngày 19/07/2020 10:00 AM (GMT+7)
Xác ướp "công chúa la hét" là một người đàn bà quý tộc Ai Cập thanh tú, nằm trong quan tài với tư thế đầu hơi ngửa ra sau, miệng mở rộng như đang thét lên kinh hãi.
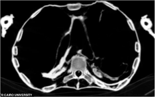
Các nhà Ai Cập học từ Đại học Cairo (Ai Cập) đã sử dụng kỹ thuật CT scan để tìm ra nguyên nhân cái chết và tư thế đầy đau khổ của người đàn bà Ai Cập cổ đại và phát hiện ra rằng nàng đã qua đời vì một cơn đau tim cấp. Tình trạng xơ vữa động mạch vẫn thể hiện khá rõ nhờ kỹ thuật ướp xác danh tiếng của người Ai Cập cổ đại.
Xác ướp "công chúa la hét" có thân hình khá thanh tú, nhưng vẻ ngoài như đang kêu thất thanh của cô khiến người ta hoảng sợ.

Cận cảnh xác ướp "công chúa la hét" khi được đưa vào máy CT scan - ảnh: Đại học Cairo
Theo tiến sĩ Zahi Hawass và tiến sĩ Sahar Saleem, những người đứng đầu nghiên cứu, phải rất lâu sau cơn đau tim gây đột tử, "công chúa la hét" mới được tìm thấy. Vì vậy xác chết đã co cứng và người ta không cách nào giúp nàng có vẻ ngoài bình yên hơn, đành ướp xác ngay trong tư thế đau khổ đó.
Các hình ảnh CT scan cho thấy "công chúa la hét" bị một cơn đau tim cấp do xơ vữa động mạch lâu ngày - ảnh: Đại học Cairo
Vẻ ngoài của xác ướp này khiến người ta liên tưởng đến "hoàng tử la hét Pentawere", một xác ướp Ai Cập cũng được "giám định pháp y" bằng CT scan trước đó không lâu. Khác với "công chúa la hét", vị hoàng tử này, được xác định là con trai vua Ramses III, có tư thế kỳ lạ đó vì bị buộc phải treo cổ sau các bằng chứng cho thấy ông liên quan đến vụ án giết cha.
"Công chúa la hét" được khai quật từ một khu chôn cất hoàng gia được tìm thấy từ năm 1881, với những ngôi mộ cổ 3.000 năm tuổi được che giấu cẩn thận để tránh những kẻ trộm mộ. Nàng được chôn cất cầu kỳ theo nghi thức dành cho một công chúa và được xác định tên là Meret Amun.
Các nhà khoa học vẫn còn hoài nghi thân phận công chúa, bởi chưa tìm thấy tên vị công chúa nào tương ứng trong lịch sử, tuy nhiên chắc chắn nàng là một thành viên hoàng gia. Bộ não của nàng không bị loại bỏ - một đặc điểm phân biệt giữa xác ướp hoàng gia và các xác ướp quý tộc thông thường.
Nguồn: https://nld.com.vn/khoa-hoc/bi-an-xac-uop-cong-chua-la-het-trong-mo-co-3000-nam-2020071814033366...Nguồn: https://nld.com.vn/khoa-hoc/bi-an-xac-uop-cong-chua-la-het-trong-mo-co-3000-nam-20200718140333665.htm

Một cuộc khai quật tại Jordan đã hé lộ rất nhiều hình nhân và những ngôi mộ cổ mà trong đó hài cốt đã không còn bình...

























0 nhận xét:
Post a Comment